Tổn thương gan tụy, ruột giữa, cơ và mang tăng dần theo nồng độ amoniac, nitrit và sunfua tăng dần

Nghiên cứu đã tìm hiểu tác động của amoniac, nitrit và sunfua đến khả năng sống sót và tổn thương ở nhiều mô và cơ quan khác nhau của tôm thẻ chân trắng. Ảnh: Francisco Miranda.
Bệnh tật là nguồn gây ra tổn thất kinh tế đáng kể cho người nuôi tôm trên toàn cầu và do sự tương tác phức tạp giữa vật chủ, môi trường và mầm bệnh gây ra, và căng thẳng về môi trường thường đóng vai trò là yếu tố thuận lợi. Hệ thống môi trường ao nuôi chứa nhiều loại chất độc hại như kim loại nặng, amoniac (NH3), nitrit (NO2) và sunfua (H2S). Các chất độc hại này tích tụ trong cơ thể tôm nuôi , gây ra phản ứng miễn dịch và sinh lý và làm tăng khả năng mắc bệnh .
Nitơ amoniac là một chỉ số quan trọng để quản lý nước và trong môi trường nước, nó bắt nguồn từ quá trình phân hủy thức ăn thừa và phân tôm. Nitơ amoniac quá mức trong nước sẽ ức chế hiệu suất tăng trưởng và làm tăng tần suất lột xác cưỡng bức ở tôm nuôi, cũng như làm hỏng mang và gan tụy của tôm và ảnh hưởng đến hệ thống chống oxy hóa và quá trình trao đổi chất trong quá trình hô hấp.
Sự tích tụ thức ăn thừa và phân trong quá trình nuôi tôm và tuần hoàn nước kém có thể dẫn đến nồng độ nitrit cao trong nước nuôi, thậm chí lên tới 20 mg/L. Căng thẳng nitrit có thể dẫn đến một số vấn đề như tăng trưởng chậm và làm hao đầu con ở tôm. Căng thẳng nitrit cũng gây ra tình trạng co tế bào gan tụy, ly giải và tạo không bào và gây ra tổn thương oxy hóa cho gan tụy ở tôm, có thể làm tăng nguy cơ apoptosis (một dạng chết tế bào theo chương trình xảy ra ở các sinh vật đa bào).
Sulfide được tạo ra trong điều kiện kỵ khí thông qua quá trình phân hủy vật chất hữu cơ và khử sulfate, và thường được tìm thấy trong chất nền và đáy ao của môi trường nước . Động vật giáp xác như tôm có khả năng chịu đựng sulfide thấp hơn ở giáp xác so với các động vật không xương sống đáy khác. Căng thẳng sulfide phá vỡ tính toàn vẹn về mặt cấu trúc của mô mang và ruột và kích hoạt phản ứng miễn dịch, cũng như ảnh hưởng đến khả năng điều hòa thẩm thấu và kháng khuẩn .
Thiết lập nghiên cứu
- vannameiđược lấy từ một trang trại thương mại của Công ty TNHH Công nghệ Thủy sản Trung Chính Hainan). Tôm (12,77 ± 2,76 g). Dựa trên các nghiên cứu thực nghiệm trước đây về nồng độ căng thẳng của ba loại hóa chất khác nhau, bao gồm amoniac, nitrit và sunfua trong L. vannamei, L. vannamei được lấy từ một trang trại thương mại của Công ty TNHH Công nghệ Thủy sản Trung Chính Hainan). Tôm (12,77 ± 2,76 g) được chia thành mười nhóm, mỗi nhóm 80 con và chịu các tác nhân gây căng thẳng khác nhau, bao gồm một nhóm đối chứng (không có tác nhân gây căng thẳng); Nhóm A1 (10 mg/L amoniac-N); Nhóm A2 (20 mg/L amoniac-N); Nhóm A3 (30 mg/L amoniac-N); Nhóm Y1 (20 mg/L nitrit-N); Nhóm Y2 (40 mg/L nitrit-N); Nhóm Y3 (60 mg/L nitrit-N); Nhóm S1 (2 mg/L sunfua); Nhóm S2 (sulfide 3 mg/L); và nhóm S3 (sulfide 4 mg/L).
Một nửa lượng nước biển được thay mới với cùng nồng độ nước biển sau mỗi 12 giờ và nồng độ nitơ amoniac, nitơ nitrit và sunfua trong nước biển được phát hiện kịp thời bằng phương pháp quang phổ. Số lượng tôm sống sót tích lũy trong mỗi nhóm chịu căng thẳng được đếm sau mỗi 12 giờ và tôm chết được loại bỏ kịp thời. Không có thức ăn nào được cung cấp trong 132 giờ thử nghiệm khi tiếp xúc với căng thẳng amoniac, nitrit và sunfua. Cuối cùng, gan tụy, ruột giữa, cơ và mang của bốn con vật từ mỗi nhóm được lấy mẫu để phân tích mô học.
Kết quả và thảo luận
Tỷ lệ sống sót tích lũy của L. vannamei dưới các nồng độ khác nhau của stress nitơ amoniac, stress nitrit và stress sulfide được thể hiện trong Hình 1A-C. Tỷ lệ sống sót thường giảm dần đối với tất cả các nhóm khi thời gian stress tăng lên, với sự giảm đáng kể về tỷ lệ sống sót được quan sát thấy trong khoảng từ 120 giờ đến 132 giờ đối với một số phương pháp xử lý thử nghiệm và thường thấp hơn đáng kể so với nhóm đối chứng.

Hình 1: Đường cong sống sót tích lũy của L. vannamei dưới các yếu tố căng thẳng môi trường khác nhau. Chuyển thể từ bản gốc.
Trong môi trường nước, độc tính của nitơ amoniac ảnh hưởng trực tiếp đến sự sống còn của động vật thủy sinh, dẫn đến giảm tỷ lệ sống của tôm được thử nghiệm. Kết quả nghiên cứu này cho thấy ba nồng độ amoniac khác nhau (nhóm A1: 10 mg/L amoniac-N, nhóm A2: 20 mg/L amoniac-N, nhóm A3: 30 mg/L amoniac-N) làm giảm tỷ lệ sống của tôm so với nhóm đối chứng, nhưng không có sự khác biệt đáng kể giữa ba nồng độ nitơ amoniac đến tỷ lệ sống của tôm, có thể là do độ dốc nitơ amoniac giữa ba nồng độ quá nhỏ để có tác động đáng kể đến tỷ lệ tử vong của tôm.
Nitrit, là một chất độc phổ biến, có mặt rộng rãi trong các hệ thống thủy sinh, không chỉ là chất trung gian độc hại được tạo ra trong quá trình nitrat hóa amoniac, mà còn là sản phẩm của quá trình khử nitrat của vi khuẩn trong chu trình nitơ. Khi tiếp xúc với nitrit kéo dài, các tác động mô học có thể xảy ra và dẫn đến tỷ lệ tử vong cao
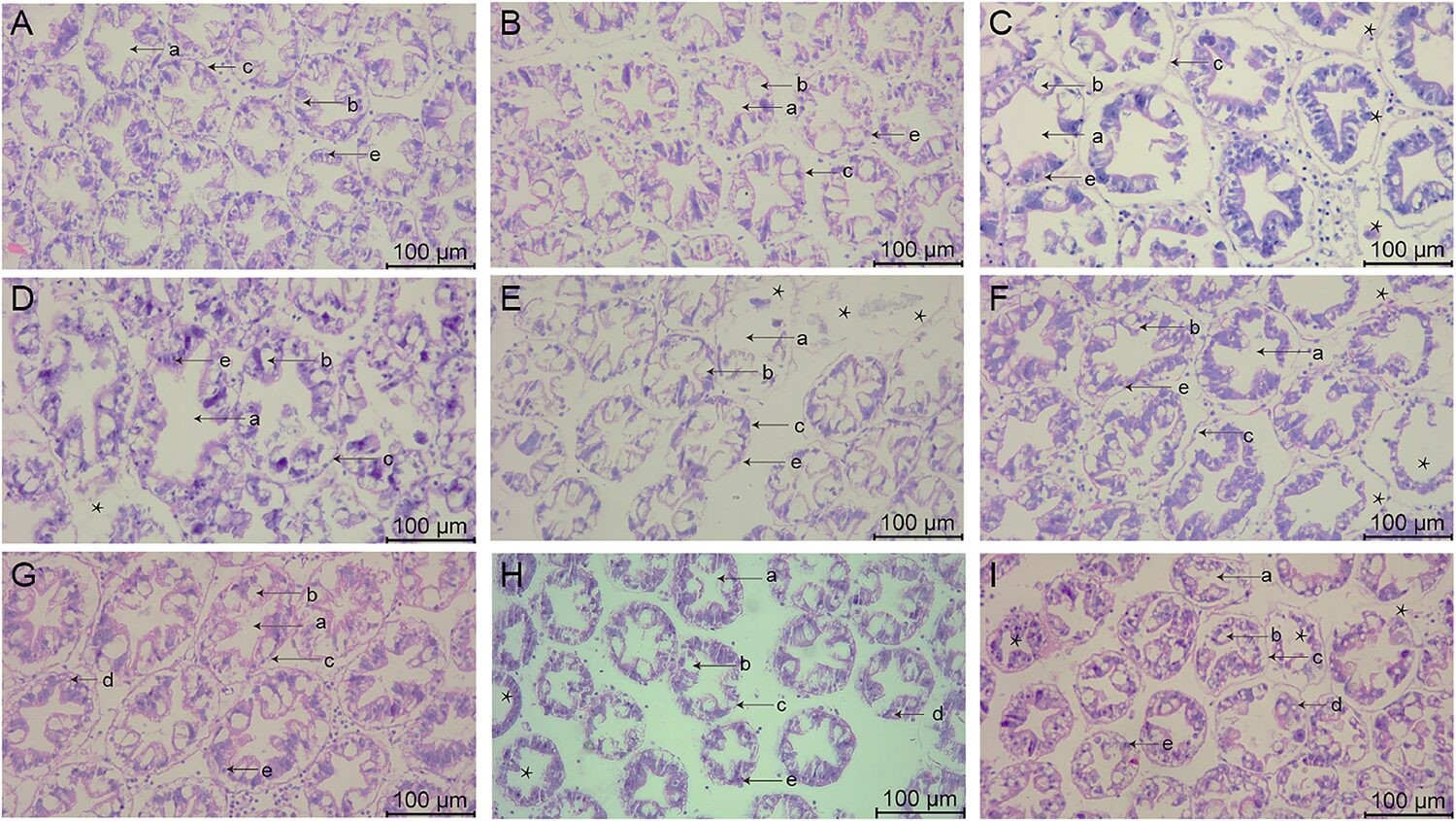
Gan tụy là cơ quan miễn dịch lớn nhất của tôm. Chức năng chính của nó là tiêu hóa, hấp thụ và lưu trữ chất dinh dưỡng, và đóng vai trò quan trọng trong việc duy trì sự cân bằng trao đổi chất của tôm và loại bỏ các chất ô nhiễm độc hại. Tổn thương đáng kể đã được quan sát thấy ở gan tụy dưới áp lực của ba yếu tố môi trường, có thể là do gánh nặng lớn hơn đối với gan tụy trong việc cân bằng và làm sạch các chất ô nhiễm, dẫn đến tổn thương cấu trúc mô của nó.

Hình 2: Những thay đổi của mô gan tụy ở tôm thẻ chân trắng L. vannamei sau 132 giờ tiếp xúc (phóng đại 200 lần). (A) Nhóm A1 (10 mg/L amoniac-N); (B) Nhóm A2 (20 mg/L amoniac-N); (C) Nhóm A3 (30 mg/L amoniac-N); (D) Nhóm Y1 (20 mg/L nitrit-N); (E) Nhóm Y2 (40 mg/L nitrit-N); (F) Nhóm Y3 (60 mg/L nitrit-N); (G) Nhóm S1 (2 mg/L sulfide); (H) Nhóm S2 (3mg/L sulfide); (I) Nhóm S3 (4mg/L sulfide). (a) Lòng ống gan tụy; (b) Tế bào tiết B; (c) Màng đáy; (d) Tế bào Restzellen; (e) Tế bào phôi E. Dấu hoa thị biểu thị sự hình thành không bào và sự co lại.
Các mô gan tụy bị tổn thương nghiêm trọng hơn dưới tác động của stress nitrit, có thể ảnh hưởng lớn hơn đến chức năng miễn dịch và hệ thống trao đổi chất của tôm, và tác động của các nồng độ hóa chất khác nhau lên hệ thống gan tụy sau đó sẽ được đánh giá đầy đủ kết hợp với các phân tích phiên mã và chuyển hóa.
Đường ruột của tôm là cơ quan quan trọng để hấp thụ chất dinh dưỡng và miễn dịch, và hàng rào ruột ảnh hưởng đến sức khỏe của tôm. Hàng rào ruột là tuyến phòng thủ đầu tiên chống lại các bệnh nhiễm trùng do mầm bệnh và căng thẳng môi trường ở tôm, liên quan đến tính toàn vẹn về cấu trúc, thành phần vi khuẩn và hợp chất miễn dịch niêm mạc.
Kết quả của chúng tôi cho thấy cả ba loại hóa chất đều gây tổn thương ruột giữa của L. vannamei , với sự phân mảnh hoại tử của các tế bào biểu mô và một số tế bào biểu mô tách khỏi màng đáy xảy ra ở tất cả các loại này. Ruột giữa là cơ quan quan trọng để tiêu hóa và hấp thụ chất dinh dưỡng ở tôm, và sự phá vỡ cấu trúc của nó có thể ảnh hưởng đến quá trình tiết enzyme tiêu hóa. Khả năng tiết enzyme tiêu hóa có thể tương quan với tổn thương cấu trúc mô và enzyme tiêu hóa có thể bị suy yếu khi nồng độ của ba yếu tố môi trường tăng lên, trong đó stress nitrit có khả năng làm suy yếu khả năng tiết enzyme tiêu hóa nhiều hơn stress amoniac và sulfide.
Chất lượng thịt cao là động lực quan trọng để người tiêu dùng mua, vì vậy chất lượng cơ của tôm thẻ L. vannamei là yếu tố quan trọng đối với người nông dân. Dữ liệu của chúng tôi cho thấy cả ba nồng độ nitrit đều khiến cơ bị vỡ thành từng mảnh, với sự phân bố không đều của nhân và sự kết tụ nhân, cho thấy cả ba nồng độ nitrit đều gây tổn thương nghiêm trọng cho cơ. Các cơ dưới ba nồng độ ứng suất sunfua khác nhau đã bị phân mảnh và đứt sợi cơ, và mức độ phân mảnh cơ ở nhóm S3 nghiêm trọng hơn so với nhóm S1 và S2, cho thấy nồng độ sunfua càng cao thì tổn thương ở cơ càng lớn.

Hình 3: Những thay đổi của mô cơ ở tôm thẻ chân trắng L. vannamei sau 132 giờ tiếp xúc (phóng đại 200 lần). (A) Nhóm A1 (10 mg/L amoniac-N); (B) Nhóm A2 (20 mg/L amoniac-N); (C) Nhóm A3 (30 mg/L amoniac-N); (D) Nhóm Y1 (20 mg/L nitrit-N); (E) Nhóm Y2 (40 mg/L nitrit-N); (F) Nhóm Y3 (60 mg/L nitrit-N); (G) Nhóm S1 (2 mg/L sulfua); (H) Nhóm S2 (3mg/L sulfua); (I) Nhóm S3 (4mg/L sulfua); (a) hạt nhân.
Chúng tôi cũng quan sát thấy rằng nitrit nhìn chung gây hại cho cơ nhiều hơn amoniac và sunfua. Sự phân mảnh cơ nghiêm trọng hơn ở nhóm Y1 so với nhóm A1 và S1, và sự tách biệt giữa các bó cơ liền kề rõ rệt hơn ở nhóm Y2 so với nhóm A2 và S2. Các cơ ở nhóm A3, Y3, S3 bị tổn thương nghiêm trọng, với các sợi cơ bị rách nghiêm trọng và mô bị rách thành các khối.
Mang của giáp xác đóng vai trò quan trọng trong cả quá trình hô hấp và điều hòa cân bằng nội môi trong cơ thể. Mang là cơ quan hô hấp quan trọng của tôm và là cơ quan mục tiêu chính của tác động độc hại của nitrit, cũng như các chức năng như điều hòa thẩm thấu và bài tiết nitơ, và cũng tham gia vào phản ứng miễn dịch để loại bỏ mầm bệnh. Kết quả của chúng tôi cho thấy các sợi mang dần bị biến dạng từ trạng thái được sắp xếp gọn gàng, và sự co lại và biến dạng tăng dần theo sự gia tăng nồng độ nitơ amoniac, cho thấy tổn thương ở mang tăng dần theo sự gia tăng nồng độ nitơ amoniac.

Hình 4: Những thay đổi của mô mang ở tôm thẻ chân trắng L. vannamei sau 132 giờ tiếp xúc (phóng đại 400 lần). (A) Nhóm A1 (10 mg/L amoniac-N); (B) Nhóm A2 (20 mg/L amoniac-N); (C) Nhóm A3 (30 mg/L amoniac-N); (D) Nhóm Y1 (20 mg/L nitrit-N); (E) Nhóm Y2 (40 mg/L nitrit-N); (F) Nhóm Y3 (60 mg/L nitrit-N); (G) Nhóm S1 (2 mg/L sulfua); (H) Nhóm S2 (3mg/L sulfua); (I) Nhóm S3 (4mg/L sulfua). (a) Biểu bì; (b) Tế bào biểu mô; (c) Cơ hoành; (d) Tế bào máu; (e) đi vào mạch mang; (f) thoát ra khỏi mạch mang.
Ba nồng độ nitrit dẫn đến sự co thắt sợi mang ngày càng lớn hơn và sự mỏng dần và đứt lớp biểu bì khi nồng độ tăng lên, cho thấy tổn thương ngày càng lớn hơn đối với các sợi mang ở nồng độ nitrit cao hơn. Nhìn chung, nitrit gây hại cho các sợi mang nhiều hơn amoniac và sunfua. Tổn thương mô nghiêm trọng do nồng độ cao của ba tác nhân gây căng thẳng có thể làm suy yếu thêm chức năng bài tiết của mang và dẫn đến tích tụ các chất chuyển hóa độc hại. Nghiên cứu trong tương lai có thể xác nhận thêm các giả thuyết này bằng cách phát hiện hoạt động của các enzyme liên quan đến điều hòa ion và biểu hiện của các gen liên quan đến chức năng bài tiết trong mang.
Quan điểm
Nghiên cứu này đã điều tra tác động của stress amoniac, nitrit và sunfua lên tôm thẻ chân trắng L. vannamei , tập trung vào khả năng sống sót và hình thái mô. Kết quả nghiên cứu cho thấy cả ba loại hóa chất đều làm giảm tỷ lệ sống sót của tôm và mức độ tổn thương mô do cả ba loại hóa chất này tăng dần theo mức độ tập trung stress, trong đó nitrit cho thấy mức độ tổn thương mô nghiêm trọng hơn amoniac và sunfua.
Những kết quả này nhấn mạnh tầm quan trọng của việc giám sát và quản lý chất lượng nước trong các hệ thống nuôi trồng thủy sản để giảm thiểu tác động tiêu cực của những tác nhân gây căng thẳng môi trường phổ biến này. Các nghiên cứu trong tương lai sẽ tiếp tục khám phá các cơ chế phân tử và sinh lý cơ bản của những phản ứng này để phát triển các chiến lược có mục tiêu nhằm cải thiện khả năng phục hồi của tôm.
Nguồn: Globalseafood
Link bài viết gốc: https://www.globalseafood.org/advocate/investigating-the-effects-of-ammonia-nitrite-and-sulfide-on-pacific-white-shrimp-juveniles/


